Kemik Tümörleri

Doktor Mehmet Subaşı

Tedavisinde tıbbın en çaresiz kaldığı ve çok yavaş gelişebildiği hastalıkların başında şüphesiz kanser gelmektedir.İskelet sistemi tümörlerinde ise tedavi protokolü , 1970’li yıllara kadar orta çağda uygulanandan farklı değildir. Ancak son 40 yılda ortopedik cerrahi alandaki yeni gelişmeler bu hastalığa ait korkularımızı gün geçtikçe azaltmaktadır.

Hastalar ortopedi uzmanına ağrı,kitle veya ilgisiz bir problemin araştırılması esnasında tespit edilen anormal radyolojik bulgular ile başvurabilir. Kemik tümörü olan hastaların en sık yakınması ağrıdır. Ağrı, başlangıçta aktivite ile bağlantılı olabilir fakat kötü huylu kemik tümörü olan hastalar sıklıkla istirahatta ve gece ortaya çıkan ilerleyici ağrıdan şikayetçidir.

Kemik tümörleri öncelikle benign( iyi huylu) ve malign(kötü huylu) olmak üzere iki ana gruba ayrılır. Sık görülen iyi huylu kemik tümörlerinden bahsedecek olursak en başta osteoblastomdan bahsetmek gerekir.

OSTEOBLASTOM

Doktor Mehmet Subaşı

Tüm iyi huylu kemik lezyonlarının % 3 ünü oluşturur. 10 -...

OSTEOKONDROM

Doktor Mehmet Subaşı

 Sık görülen iyi huylu kemik tümörlerinde...

ENKONDROM

Doktor Mehmet Subaşı

Hyalin kıkırdağın iyi huylu lezyonlarıdır.sıklıkla el kemiklerinde g&oum...

FİBRÖZ DİSPLAZİ

Doktor Mehmet Subaşı

Kemik iliği içindeki fibröz doku çoğalması ile karakt...

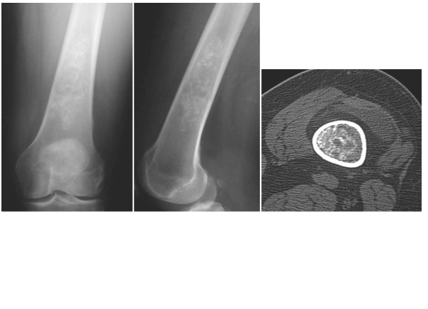
ANEVRİZMAL KEMİK KİSTİ

Doktor Mehmet Subaşı

Kemiğin lokal , yıkıcı özellikte, içi kanla dolu reaktif lez...

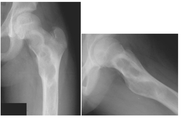
DEV HÜCRELİ TÜMÖR

Doktor Mehmet Subaşı

Sıklıkla 20-40 yaş arasında görülür, kadınlarda ise daha ...

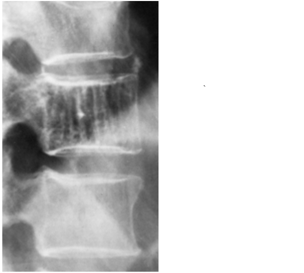
HEMANJİOM

Doktor Mehmet Subaşı

Toplumun yaklaşık % 10unda semptom vermeden omurga kemiklerinde yerleşmi...

OSTEOSARKOM

Doktor Mehmet Subaşı

Kötü huylu kemik hücreleri tarafından kemik yapımını artı...

KONDROSARKOM

Doktor Mehmet Subaşı

Sıklıkla 40-60 yaş arası görülür.erkeklerde kadınlara ora...

EWİNG SARKOM

Doktor Mehmet Subaşı

Kemiğin 4. Sıklıkta rastalana primer tümörüdür,ancak...