Ortopedik Travma

Doktor Mehmet Subaşı

Travma canlı üzerinde beden ve ruh açısından önemli ve etkili yaralanma belirtileri bırakan yaşantı, bir doku ya da organın yapısını ya da biçimini bozan ve dıştan mekanik bir etki sonucu oluşan yerel yara olarak tanımlanmaktadır.

Travma sonrası hastaneye getirilen hastanın değerlendirilmesi, acil müdahalelerin yapılması, sonraki erken dönem müdahalelerin planlanması ve gerçekleştirilmesi, koordinasyonu çok iyi olması gereken değişlik uzmanlardanoluşan bir ekibin işidir. Ortopedi ve Travmatoloji Uzmanı da bu ekibin içinde önemli rol alır.

Ortopedi ve Travmatoloji’nin ilgili alanı sadece ekstremite yaralanmaları  değil, kafa haricinde iskelet sisteminin tüm yaralanmalarıdır. Pelvis ve vertebra kırıklarının tedavisi de Ortopedi ve Travmatoloji Uzmanı’nın görevidir.Eğer gerekirse bu kırıklara müdahale ederken Genel Cerrahi, Nöroşirurji,Üroloji, Plastik Cerrahi ve Kalp-damar Cerrahisi uzmanları ile işbirliği yapar.Travma hastasına yaklaşımda birinci öncelik hastanın hayatını kurtarmak ve vücudun temel fonksiyonlarını korumaktır.

 

 

Ortopedik travma çeşitleri:

   Kırıklar: Kemik doku bütünlüğünün bozulduğu durumlardır.

   Çıkıklar: Eklem yüzeylerinin birbirinden tamamen ayrılması durumudur.

   Subluksasyonlar (yarı çıkıklar): Eklem yüzeylerinin kısmi olarak ayrılması durumudur.

   İncinme: Basitçe kas liflerinin yırtılması sonrası gelişen durum olarak ifade edilebilir.

   Burkulma:Ligamentlerin bir yada birkaçının yırtılması sonrası karşımıza çıkabilen bir durumdur.

 

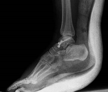
TALUS KIRIKLARI

Doktor Mehmet Subaşı

Talus ayak bileği eklemini oluşturan ayak kemiklerinden birisidir. Motor...

KALKANEUS KIRIKLARI

Doktor Mehmet Subaşı

Kalkaneus, a...

DİZ ÇIKIKLARI

Doktor Mehmet Subaşı

Diz bağlarının, diz eklemini çevreleyen eklem kapsülün&...

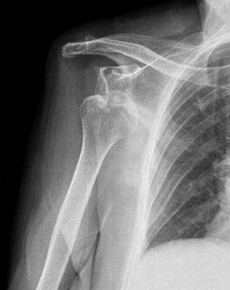
OMUZ ÇIKIĞI

Doktor Mehmet Subaşı

Omuz vücudumuzun en esnek eklemidir. Top fırlatmak, sırtımızı kaşım...

DİRSEK ÇIKIKLARI

Doktor Mehmet Subaşı

Dirsek eklemi bir adet kol (humerus) kemiği ve iki adet ön kol (Rad...

RADİUS DİSTAL KIRIKLARI

Doktor Mehmet Subaşı

Ön-kol kemiklerinden birisi olan radius hem dirsek, hem el bileği, ...

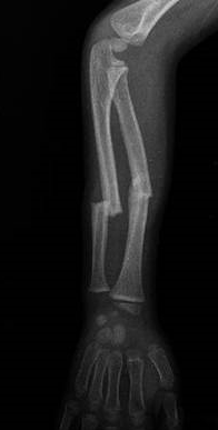
ÖN KOL ÇİFT KIRIĞI

Doktor Mehmet Subaşı

Ön-kol kemiğini oluşturan Radius ve ulna kemiklerinin ikisinin bera...

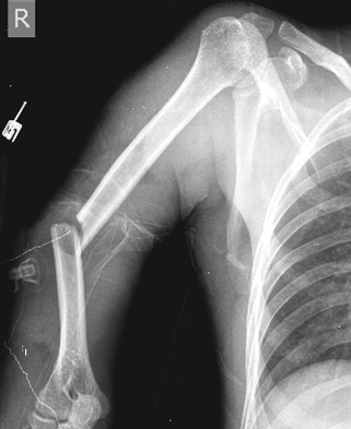
HUMERUS KIRIKLARI

Doktor Mehmet Subaşı

Humerus kemiği omuz ile dirsek arasında yer alan kol bölgesinin kem...

HUMERUS BOYUN KIRIKLARI

Doktor Mehmet Subaşı

Humerus üst uç kırıkları içinde değerlendirilmekte ol...

PİLON KIRIKLARI

Doktor Mehmet Subaşı

Ayak bileği, baldırın ana kemiği tibianın alt ucu, baldırın ince kemiği ...

TİBİA CİSİM KIRIKLARI

Doktor Mehmet Subaşı

Alt tarafta diz ile ayak bileği arasında 2 adet kemik vardır. Bunlardan ...

TİBİA PLATO KIRIKLARI

Doktor Mehmet Subaşı

Diz ekleminde tibianın eklem yüzünü oluşturan tibia kondi...

FEMUR CİSİM KIRIKLARI

Doktor Mehmet Subaşı

Femur, uyluk kemiği olarak vücudun en ...

FEMUR BOYUN KIRIKLARI

Doktor Mehmet Subaşı

Tüm kırıkların yaklaşık %1 ini oluştururlar. Sıklıkla 60 yaş ü...

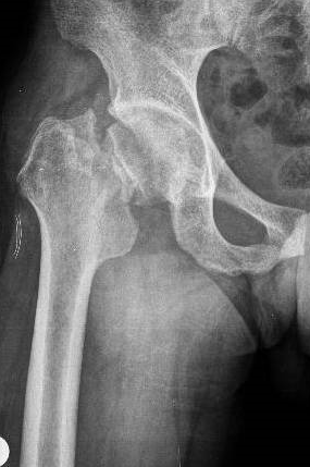
ASETABULUM KIRIKLARI

Doktor Mehmet Subaşı

Kalça, yuva-top şekli bir eklemdir. Topu oluşturan yapının femur ...

KIRIK VE ÇIKIKLARDA ACİL YAKLAŞIM

Doktor Mehmet Subaşı

Kazaların insanda oluşturduğu önemli ve sık görülen sağlı...